Porcelain veneers for treating teeth Affordable and cost-effective

 Porcelain veneers for teeth can be a great option for people who need cosmetic enhancement. They're not expensive and can be done by a single visit with your dentist. Furthermore, they're removable, that means you're capable of changing the veneers at any time.

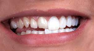
 Porcelain veneers: price, brands, procedure - Our complete guide

Porcelain veneers to treat teeth comprise an ingredient known as porcelain enamel. It's a small piece of ceramic placed on the natural dentin. It's thin enough to show the color of your teeth but it's strong enough to stand up to the wear and wear and tear.

The process of obtaining Porcelain tooth veneers easy. You visit the dental office where we will take impressions of your teeth that we have. The impressions are then used to design custom veneers. Once the veneers have been designed, they are placed and then bonded to your teeth by a specific adhesive. After the adhesive has dried, then you can go out and live your life as usual!

There are numerous motives Porcelain dental veneers can be an the best option for your. Many people select veneers because they feel their teeth look too straight or broad. Some sufferers experience tooth dental decay or sensitivity that require intensive treatment over the period of. Porcelain veneers on the teeth offer stunning cosmetic enhancements without the risks of long-term effects.

They're irreparable

There are many advantages of considering Porcelain veneers for your teeth. They're reversible, which means that if they're not suitable for you following the procedure it is possible to simply remove them and replace them with original veneers. They are also more durable than other types of veneers and last longer.

They can be easy to remove

Porcelain veneers are a very popular option for damaged teeth that require restoration. They are thin and clear, meaning that it can be placed across the entire teeth without causing any damage. There are many advantages to considering Porcelain dental veneers may be the most suitable option for your requirements.

The primary reason can be that Porcelain dental veneers may be dispersible. This means that if you decide that you don't like them any more, you can have them removed without needing to undergo further surgery or other dental procedure.

The third reason is the fact that Porcelain veneers used to treat teeth last for a long period of time. They can last for a long time without needing repair or replacement.

Third Porcelain veneers are visually attractive. A lot of people find them to be extremely attractive and appear superior to natural teeth.

They're long-lasting

Dental veneers made of porcelain are a fantastic alternative for those suffering with sensitization or sensitivity to chemicals. They're also a good choice if you're searching for lasting results. There are a few things to take into consideration when choosing Porcelain tooth veneers

Before starting, make sure you've got enough teeth to support the veneers are put in the socket so that they can be securely attached to your teeth. The other thing to take into consideration is choosing the right type of porcelain that matches your teeth. It's not recommended to pick a product that's too hard or soft as this could impact the final result. Thirdly, it's essential to keep all of your
dentists current on your dental plan and let them know the kind of Porcelain veneers for your teeth that you're looking for. Fourth, be sure to schedule periodic appointments with the dentist after the procedure to ensure any concerns can be addressed before they turn into more serious problems.

 

 

 

Comments

Popular posts from this blog

The Changing Face of Dentistry

If a private dentist is highly recommended, why not?

All Your Burning Children's Dentist Questions, Answered